漂亮妈妈肿瘤疯长,这位医生党支部书记给了她第二次生命
也许很多人猜不到,这位秀美的姑娘,已经是俩孩子的妈妈。

更让你猜不到的是,她经历了一次与死神的抗争,是中肿的一名党员专家给了她第二次生命。
她说:“在我生病的时候,被那些医院下了判决说我无法治疗的时候,万念俱灰,心情低落到谷底,甚至有轻生的念头。就好像上帝关上了我所有的门,是林鹏教授为我开了一扇窗,我才能再见到阳光和希望。”
今年3月份,她颜面部和手脚水肿,精神萎靡的坐在轮椅上,呼吸急促,用氧袋吸着氧,在妈妈的陪伴下来到中肿林鹏教授的门诊。那会儿,她身上散发着浓浓的负能量,她妈妈时不时地用心疼的眼光看着她的女儿,又用殷切的目光看着林鹏教授,希望能从林鹏教授的口里得到一丝希望。
她是一个女儿,也是一个普通的母亲。生病的时候,范小姐的孩子几个月没见过妈妈,只能在老家每天隔着视频说想妈妈。“还记得她在住院期间,一提孩子就红眼睛。”护士长刘莉这样说到。
经过林教授的细心诊断,这位年轻的妈妈范小姐得的是罕见的上皮样炎性肌纤维母细胞肉瘤,这种肿瘤临床上易复发,但极少转移。
辗转多院
对于范小姐来说,从12年前确诊了“腹壁肉瘤”开始,先后在福建、上海和北京进行4次手术切除,胸腹部好几个疤痕。反复手术4次,已经把范小姐以及她的家人对生命的希望和意志消磨掉大半了。
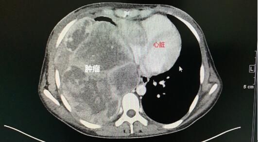
但是噩梦还没有结束!2017年,范小姐的肿瘤又复发了!!!肿物已经长到162mm×123mm×123mm大,整个胸腔都被这个巨大肿物填满了,尽管范小姐接受了昂贵的靶向治疗,然而,无论是第一代ALK抑制剂,还是后续的治疗失败后换用的第二代ALK抑制剂,都无法有效的控制范小姐体内进展迅速的肿瘤。他们继续辗转上海、北京多家医院。除了花了巨额家财,身体也被折磨的千疮百孔,手脚颜面部肿胀、水电解质紊乱、低蛋白血症、低氧血症、贫血…………

柳暗花明
经多方打听,范小姐得知中山大学肿瘤防治中心的林鹏教授是一位专业技术过硬又敢于挑战困难的教授,在家人的陪伴下马上地赶到中肿林鹏主任的门诊求医。林鹏主任接诊时,范小姐因服用靶向治疗药颜面部及双下肢中度水肿,无法下地行走,只能依靠轮椅。而范小姐因巨大肿物的压迫,呼吸困难,需要吸氧来维持日常活动。究竟能否排除万难,为其行手术呢?
直面困难的中肿党员医护团队敢于攻坚克难,勇于挑战!
经过胸科MDT会诊评估后,林鹏主任决定收治入院。
全方位调整体质
入院后,林鹏主任马上带领医疗小组为范小姐展开全方位的术前评估。林教授指出,目前当务之急是改善患者的呼吸困难和营养状况。在刘莉护长的主导下,营养科叶文锋主任也积极为其会诊,制定个性化营养方案。范小姐血白蛋白只有20g/L! 严重低蛋白血症,所以范小姐颜面部及双下肢中度水肿,亲友都无法辨认她原来的模样,也严重影响了她的日常活动。刘莉护长指导患者如何口服营养素,监测范小姐的各项营养指标,再加上脱水治疗、白蛋白的补充等手段。通过十几天的调整,在范小姐手术前,水肿已经消失,低蛋白血症已经得到纠正。
紧张的手术开始了
4月12日,术前准备已经妥当。林鹏教授、杨寒医生和麻醉医生林文前教授、手术室医护组成一个强大的手术团队为范小姐进行了手术。
术中,医生见范小姐的肿瘤巨大,胸膜粘连严重,探查见肿物累及心包、膈肌,同时还与右下肺叶粘连紧密。术程相当困难,需要同时将侵犯的心包和膈肌部分连同肿瘤整块完整切除:心包里就是跳动的心脏和心脏大血管,若损伤心脏大血管,其后果不堪设想!肿物巨大,其本身就遮挡大部分手术视野,必须通过默契严谨的配合和充分的视野暴露,才能避免损伤视野盲区的重要器官。通过林鹏教授及杨寒医生熟练与默契的配合,最终成功将肿物连同侵犯的心包及膈肌部分完整切除取出。

然而这只是手术的第一步!林鹏教授继续评估患者情况,发现患者的右下肺因肿瘤长期压迫已丧失功能,如果保留右下肺叶,术后将产生严重的后果甚至威胁生命,遂进一步切除患者右下肺叶。最后,林鹏教授对缺损部位的心包和膈肌进行修复重建,恢复心包和膈肌结构和功能,手术终于得以圆满成功!
整个手术过程如行云流水,各个程序无缝连接。全程耗时6小时,术中出血约4000ml,接近整个人体的血液总量,术中林文前教授严密的生命监测和生命维持,保障了患者的生命安全,病人最终安全从麻醉中苏醒。
手术成功后,范小姐在中肿ICU观察了两天,脱离了危险期就回到胸科病房,胸科的护理团队对其充分实施快速康复ERAS。护士们每天指导范小姐合理饮食,进行有效的呼吸功能锻炼和咳嗽排痰,积极督促范小姐早期下床活动,认真按计划康复训练。胸科党支部组织委员刘莉护长还随时关注范小姐的心理情况,给予心理疏导,开导其以及家属对疾病的正确认识,给予正能量。
“妈妈回来了!”
在林鹏主任以及刘莉护长医护党员团队的精心合作下,范小姐术后恢复很快,治疗效果非常理想,于术后第六天顺利出院,范小姐以及家属非常开心,感激医护人员对其进行生命的救治。在五月八日,范小姐第一次返院复查,她向为她全力施治和悉心护理的林鹏主任、杨寒医生和刘莉护长团队赠送了锦旗,用“医术医德赛华佗,亮剑一挥除病魔”和“白衣天使无限爱心,手到病除优质服务”来表达她以及她的家人对林鹏主任团队的感谢之情。


妹妹说:“妈妈,重的我来拿,你不能拿重的~” 现在范小姐已经回到老家,在慢慢调养恢复身体的同时,每天都能陪着一儿一女,重回一个普通母亲的角色。出院后,林鹏主任、杨寒医生一直关注着范小姐的情况,刘莉护长也经常回访患者,关注她在家生活、康复锻炼以及饮食情况,了解到范小姐现在又可以去做回老本行——采茶了,还可以自己带娃出去逛街了,生活丰富了起来。
小can说cancer
上皮样炎性肌纤维母细胞肉瘤是一种间叶源性的低恶度肿瘤,属于肉瘤的一种类型,是炎性纤维母细胞瘤的罕见特殊亚型。与经典的炎性纤维母细胞瘤相比,上皮样炎性肌纤维母细胞肉瘤的临床病理特征、免疫表型及分子遗传学性状等均有其特殊性,侵袭性及恶性程度较高,肿瘤常快速进展,易复发转移,预后较差。
近年来,ALK抑制剂常被用于治疗上皮样炎性肌纤维母细胞肉瘤,虽能取得一定治疗效果,但常因耐药出现而使得肿瘤再次复发。目前对可根治性切除的手术病人,根治性外科切除仍是有效的、立竿见影的治疗手段。