镜下论术!“中肿+复肿”强强联合,带来一场精彩的脊柱肿瘤手术展播!
2022年8月24日,由中山大学肿瘤防治中心和复旦大学附属肿瘤医院联合举办的脊柱肿瘤手术展播日在中肿黄埔院区手术室顺利进行,邀请了上海长征医院的魏海峰主任、复旦大学附属肿瘤医院的严望军主任和甘肃省人民医院的宋建民主任作为点评嘉宾进行线上解说。
经过十几个小时奋战,中肿骨与软组织科王晋主任团队成功完成了两台高难度脊柱肿瘤手术,得到了各位点评专家的高度认可!
聚焦脊柱肿瘤手术技术,业内大咖“镜下论术”!
直播开始前,王晋主任讲道:“随着外科手术技术的进步,脊柱肿瘤的外科治疗越来越受到重视,各地医院也逐渐开展了脊柱肿瘤手术,但受到脊柱及邻近复杂的组织结构影响,脊柱肿瘤难度高,风险大,特别是肿瘤侵及范围大的病例。昨天复肿骨软科展示了非常成功的甲状腺癌骨转移的整块切除,我们从中学习很多实操技术,今天继续脊柱肿瘤展播,不仅仅是手术演示,更重要的是希望能获得各位专家和同行的宝贵指导意见,取长补短,提高脊柱肿瘤外科技术水平!”

参与线上点评的嘉宾
这次直播的两个病例情况都很复杂,手术难度很高:一例是胸椎骨巨细胞瘤,另一例是腰椎高级别肉瘤。直播开始时,中肿骨与软组织科的朱小军副主任医师和卢金昌副主任医师分别汇报了本次手术直播两个病例的病史摘要及手术计划,三位点评嘉宾就两位患者手术方式和入路的选择、手术的主要难点以及术中可能遇到的问题和解决方案分享各自的经验。
专家特别提到,胸椎肿瘤的病例累及3个椎体,椎旁软组织较大,切除范围大,在椎体截骨时需保证肿瘤的切除边界;而腰椎的病例既往做过腰椎手术,椎板已打开,组织可能有黏连,手术难度大大增加,在后路处理脊髓及神经根时需十分谨慎。
16小时完成2台高难度手术,中肿骨软团队获得专家高度认可!
第一例手术患者,是一位69岁男性,诊断为左侧第11肋骨骨巨细胞瘤伴恶变,病灶侵及左侧第10、11、12肋骨,并累及胸10椎弓根及附件(WBB分区:2-3区,A-B层)、胸11部分椎体、椎弓根及附件(WBB分区:2-5区,A-C层)、胸12横突(WBB分区:2-3区,A-B层)。
王晋主任、朱小军副主任医师、宋国徽及胡锦心主治医师共同上场操作。治疗团队计划采取后外侧入路行包括胸10-12椎体矢状切除、第10-12肋骨部分切除、胸膜及膈肌部分切除的en-bloc切除术。此例病灶累及范围较广,手术过程中手术团队运用娴熟的外科技术,保护脊髓,分离结扎同侧神经根,推开保护肺脏,超声骨刀顺利完成椎体的矢状截骨,结扎节段血管,实现肿瘤的en-bloc切除,一期完成胸壁及膈肌的修补,术中出血600毫升,手术时间3小时,术后患者双下肢功能良好。
在线点评专家严望军主任、魏海峰主任、宋建民主任对于此例手术的顺利完成给予高度评价及认可,术中对脊髓及肺脏等重要组织脏器保护到位,矢状截骨的边界把握也十分精准,实现肿瘤的R0切除!

核磁共振(T2加权)显示病例一胸椎的病灶范围

病例一的肿瘤WBB分区范围、术中透视以及大体标本情况

中肿骨软团队术中情况

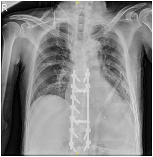
病例一术后内固定情况
第二例手术由王晋主任、唐清连副主任、朱小军副主任医师、卢金昌副主任医师、徐怀远及吴昊主治医师共同完成。
患者是一位58岁男性,诊断为腰椎高级肉瘤,既往因“腰椎间盘突出症”于当地医院行腰3、4椎弓根螺钉内固定术+椎管扩大减压+椎间植骨融合术。病灶主要累及腰3(WBB分区:4-8区,A-C层)和腰4(WBB分区:4-9区,A-D层)大部分椎体及椎旁腰大肌,附件尚未被侵及。
这位患者的情况更为复杂,三位专家术前都一致认为此例手术难度非常大,极大考验术者的技术与耐心以及团队协作能力!
治疗团队计划采取后前路联合腰3、4椎体肿瘤en bloc切除。因患者既往有腰椎手术史,的确,由于上次手术腰3椎板已被打开,在后路操作时发现瘢痕组织与硬脊膜黏连十分严重,双侧腰3、4神经根处也有瘢痕增生。手术团队操作熟练轻柔,细致的将硬脊膜完整暴露,神经根也充分游离,并行牢靠的内固定翻修。前入路中,治疗团队选择腹部正中切口,行腹膜后入路暴露椎前大血管,由于患者腹部脂肪丰富,显露空间有限,给手术增加了不少难度。其中,下腔静脉在分离过程中出现髂总静脉背侧1处血管末端断口,出血不易结扎,医生们思路清晰,沉着应对,上下游离阻断后,暴露背侧破口位置,6-0线修补3-4针,完成了彻底的止血。最终,手术团队在充分游离保护椎体前方血管的条件下,顺利的从前方旋转取出了整个腰3和4椎体,并置入3D打印的人工椎体,很好的做到了肿瘤的完整切除及重建!
整个手术过程耗时12.5个小时,期间两组人员轮替上阵,无缝衔接,顺利的完成了整个手术!三位点评专家对中肿骨软团队在本例手术中展现出的高水平手术技术以及团队协作精神给予了高度的认可,并分享了椎前血管显露以及腔静脉出血处理的宝贵经验。

核磁共振(T2加权)显示病例二腰椎的病灶及WBB分区范围

术后大体标本
作为本次手术的演示单位,王晋主任对参与解说的点评专家表示衷心感谢!王晋主任指出,脊柱肿瘤的En-bloc切除作为脊柱外科的天花板,手术难度大,风险高,学习曲线长,不仅需要非常熟练的脊柱外科技术,而且还必须充分掌握骨肿瘤的切除原则。这次手术直播,国内很多对脊柱肿瘤感兴趣的专家和同行,全程线上参与,给我们提了很多宝贵意见或优化策略,让我们学习到不同的路径和思考,希望今后将有更多的学习交流机会,与全国的专家同道一起探讨脊柱肿瘤治疗的前沿技术,共同促进我国脊柱肿瘤的诊疗水平!
最后,王晋主任补充道:“中山大学肿瘤防治中心在国内率先成立了脊柱肿瘤多学科诊治MDT团队,包括骨科、内科、放疗科、病理科、影像科、介入科等领域专家,积累了丰富的临床诊治经验,将为脊柱肿瘤患者提供‘一站式’的最优诊疗方案!”

中肿骨软团队
文/卢金昌