“叔,没关系的!”全球首台CT一体化直线加速器里的温暖
数月前,王阿叔(化名)在外院进行CT检查时发现膀胱占位,当地医院怀疑是膀胱肿瘤。于是,他第一时间来到了中山大学肿瘤防治中心进行治疗。
手术、灌注、免疫治疗、放疗......然而,王阿叔在治疗时竟经历了这样的尴尬和暖心时刻......
2023年11月,王阿叔在泌尿外科接受了经尿道膀胱肿瘤电切术(TRUBT)。根据术后病理结果,阿叔被诊断为高危非肌层浸润性膀胱癌(HR-NMIBC),随即王阿叔继续接受了术后的卡介苗灌注治疗。但膀胱癌是出了名的复发率高,2024年3月王阿叔的复查结果提示膀胱后壁出现肿物。
这一次,阿叔要接受的治疗方法是放疗联合替雷利珠单抗治疗。该治疗是由刘卓炜教授发起,泌尿外科团队和放疗科何立儒主任医师团队共同合作的一项针对卡介苗(BCG)无应答的高危非肌层浸润性膀胱癌患者的临床研究。该研究作为一种安全的和有效的保膀胱疗法,于2023年在美国临床肿瘤学会泌尿男生殖系肿瘤分会(ASCO-GU)年会上亮相。截止2024年初,研究中期疗效结果显示12个月无病生存率75%,24个月膀胱保留率100%。
小can讲科普:
膀胱癌是泌尿系统最常见的恶性肿瘤之一。数据显示2022年我国膀胱癌新发病例约91,893人,膀胱癌死亡病例约42,973人。根治性膀胱切除术是肌层浸润性膀胱癌(muscle-invasive bladder cancer,MIBC)和BCG无应答非肌层浸润性膀胱癌(non-muscle-invasive bladder cancer,NMIBC)的标准治疗方法。然而,许多患者要么有不耐受手术的合并症,要么由于担心生活质量下降而拒绝膀胱切除术。
随着医疗技术的不断发展,保膀胱综合治疗在取得良好疗效的同时也提高了患者的生活质量,其中,基于图像引导和器官运动管控下的精准放疗成为膀胱癌综合治疗中不可或缺的一步。
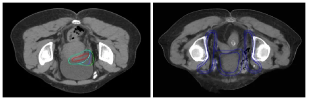
膀胱癌容易多点发病,因此放疗时除了针对肿瘤区域进行高剂量照射外,也要对病变区域外的其他膀胱区域和淋巴引流区做预防性照射,同时还要对靠近膀胱周围的正常器官做保护。
膀胱癌患者放疗面临的难点是,膀胱是一个随时可变的运动器官,在多达30+次的治疗中是否可以重复相同的膀胱状态,极大程度上影响着患者的放疗效果。排空膀胱重复性更好,但对未病变膀胱区域和肠道的保护效果不理想;全程充盈膀胱对正常器官保护效果更好,但重复性相对较差,患者面临的涨尿压力也大。
为了既达到理想的剂量效果,又保证膀胱状态的高重复性,放疗科何立儒主任医师为王阿叔制定了“先充盈7分次再排空23分次”的两段式放疗方案。其中充盈膀胱的7个分次仅对肿瘤进行推量并将这个阶段置于前,尽可能避免患者因放疗刺激而出现尿控能力下降的情况,排空膀胱的23个分次则对全膀胱及引流区进行照射。

“先充盈再排空”两段式放疗靶区示意图
“尴尬,尿床了!”
第一段的7个分次治疗中,每个分次阿叔需要涨尿250-300ml。对于正常成年人来说,膀胱充盈200ml+并坚持10分钟并不是太困难的事,但对于王阿叔来说却是不小的考验。来到放疗机房的第一天,机房的当班治疗师刁文超、陈雪梅再次耐心地跟王阿叔交代了涨尿准备的重要性。
“放心,放心,我一定配合。”王阿叔先按照自己的习惯进行涨尿,当他感觉有尿意的时候,治疗师使用膀胱超声测量仪进行测量的结果却并不符合要求,一直到第三次测量。此时已几乎要接近王阿叔的涨尿极限。治疗完毕,阿叔匆忙穿好衣服便“嗖”地一下跑去了厕所。
”

治疗时为患者播放舒缓的轻音乐
然而,他的最后一次A段治疗却出现了“狼狈”的情况。当天当班的是两位年轻治疗师,中肿甘肃医院放疗科的苟秋燕治疗师也刚好轮转到该机房交流学习。这天治疗的短短几分钟对于阿叔来说,也像以往一样有些难熬。看到机架停止了转动,王阿叔知道这次的放疗已经结束了,他绷紧的身体瞬时放松了下来,膀胱压力也在刹时之间释放——“尴尬,尿床了!”
“叔,没关系的!”
尽管面对的是医务人员,但都是比自己孩子还要小的年轻娃们,还有两位是女性,王阿叔顿觉尴尬无比。他急忙起身,顾不上全湿的内衣,顺手就拿过自己的长裤擦拭了起来。等到治疗师们走进机房,已经看到阿叔在擦拭模具了,看到手足无措的王阿叔,年轻的治疗师王哲第一时间拿来了擦拭用的纸巾和酒精,并连连跟阿叔说“叔,没关系,我们来吧,你先穿衣服。”当他接过王阿叔手中的长裤时才意识到阿叔这时候已经没有更换的裤子了,“没事儿没事儿我现在去厕所洗一下就干了。”王阿叔赶紧接话道。
这时,另外一名治疗师许晨迪从保温柜里拿出了一条长长的热毛巾,“阿叔你先裹着这个。”一旁的苟秋燕治疗师也连忙安慰道:“阿叔这都是正常的事,难免的,不要有压力,你先去处理,这里交给我们。”随后三人便帮阿叔收拾了起来。等阿叔整理完毕,治疗床也已经收拾利索。
“谢谢你们!你们太贴心了!”王阿叔难掩激动的心情。“没事儿都是该做的,阿叔你下一段就不用涨尿了,就没那么辛苦了哈。”治疗师们答道。
第二天,王阿叔开始了他“排空”阶段的放疗。没有了涨尿的压力,和治疗师们也愈加熟悉,王阿叔每天都精神奕奕地来,利利落落地走。
有一天,王阿叔早早来到了放疗中心,他的手里拿着一个大大的塑封好的“礼物”。“送给你们!”王阿叔把“礼物”放到门口,没等治疗师们反应过来,阿叔就拆开了塑封,里面是一块红底银边的牌匾和一封感谢信。
治疗师们读着阿叔的感谢信,被质朴、诚恳的文字深深打动,“谢谢阿叔,我们一定把牌匾挂起来!”
5月末,王阿叔结束了放疗之旅。结束当天,技术组迟锋技师长、姜晓勃机长、中肿甘肃医院苟秋燕治疗师还有8号机的当班治疗师们与阿叔合影留念并给阿叔送去了真诚的祝福。“感谢您对我们工作的配合和认可,这就是我们日后工作的最大动力!祝您早日康复。”迟锋技师长握着王阿叔的手说道。

王阿叔(化名)与迟锋技师长(右一)、姜晓勃机长(左一)、苟秋燕治疗师(右三)、8号机当班治疗师在机房内合影
当人文和匠心相遇......
王阿叔是在放疗中心8号机进行治疗,这是一台国产加速器,也是全球首台CT一体化直线加速器,除了图像质量优于现有其他加速器配置的锥形束CT,能更好地显示器官的边界和细节外,也可以随时根据肿瘤或器官的变化重新制作放疗计划,实现国际领先的在线自适应放疗技术。以上两种特性使得它在膀胱癌的放疗中具有突出的优势。
目前,中肿放疗科已经打通了鼻咽癌、肺癌一站式放疗和在线自适应放疗的整体流程。而针对深受器官运动影响的盆腔肿瘤,何立儒团队也一直在和相关团队对接和沟通,争取早日为患者带来更为智能、快速和高效率的治疗方案。
在科室主任陈明教授的带领下,放疗科以设备更新、技术创新为核心,全力打造精准放疗的模范基地,同时,以放疗中心青年文明号为抓手,用心营造整洁温馨的就医环境和提供贴心细致的人文关怀,努力让饱受病魔之痛的患者享受到既专业又有温度的医疗服务。
“仁心仁术,爱心倾注。”当仁心遇到理解,当仁术驱散迷雾,便谱写出了一篇篇动人的故事。
来源:放疗科
文:许晨迪
医学指导:何立儒主任医师、李志勇副主任医师
编辑:赵现廷 审核:陈鋆 审核发布:文朝阳